INDICE
- ANATOMIA LCA
- FUNZIONELCA
- LESIONE LEGAMENTO CROCIATO ANTERIORE
- SINTOMI E COSA FARE IN CASO DI LESIONE
- FASE PREOPERATORIA / TRATTAMENTO CONSERVATIVO
- RICOSTRUZIONE LEGAMENTO CROCIATO ANTERIORE
- RIABILITAZIONE POST-CHIRURGICA
- ALLENAMENTO DELLA FORZA
- ALLENAMENTO DELLA PROPRIOCEZIONE
- SALTI E ATTERRAGGI
- QUANDO POSSO RIPRENDERE A CORRERE?
- QUANDO POSSO TORNARE A FARE SPORT? TEMPI DI RECUPERO
Il legamento crociato anteriore del ginocchio (LCA) è uno dei principali legamenti dell’articolazione, che assieme al legamento crociato posteriore (LCB), il collaterale interno ed il collaterale esterno costituisce il comparto legamentoso del ginocchio.
Il ginocchio è un’articolazione complessa ma che svolge però dei movimenti semplici, viene infatti considerato un ginglimo angolare, ovvero un tipo di articolazione che è in grado di garantire sommariamente un unico movimento, quello di flessione e estensione, considerando che le rotazioni interne ed esterne della tibia sul femore sono minime ed effettuabili solo a ginocchio flesso; la capsula legamentosa garantisce la stabilità dell’articolazione durante questi movimenti.
ANATOMIA LCA

Figura 1: Anatomia LCA
Il legamento crociato anteriore è un legamento piuttosto piccolo, mediamente ha una larghezza di 1 cm e una lunghezza di 3 cm, nonostante questo è fondamentale per la stabilità articolare, formato di tessuto fibroso non vascolarizzato (questo complica la guarigione in caso di rottura), si chiama “crociato” proprio perché nel suo percorso si incrocia con il legamento crociato posteriore. Va dal femore alla tibia con un andamento obliquo e anteriore, ovvero va dall’alto verso il basso, da dietro in avanti e dall’esterno leggermente verso l’interno; un modo semplice per ricordarti l’andamento dei legamenti crociati del ginocchio è quello di mettere il dito medio sopra l’indice “intrecciandolo” con esso e metterlo sopra il ginocchio dello stesso lato della mano, in questo modo il dito medio rappresenterà il legamento crociato anteriore e l’indice il posteriore! Per essere precisi il legamento origina dalla fossa intercondilare (lo spazio inferiore tra i due condili del femore per inserirsi sul piatto tibiale medialmente alla spina tibiale anteriore, ovvero l’eminenza anteriore che si trova sul piatto tibiale.
FUNZIONE LCA
Insieme al LCP ha il compito di limitare gli scivolamenti anteriori e posteriori della tibia sul femore, mentre i laterali limitano gli scivolamenti latero laterali. Nelle articolazioni esiste la regola del concavo e del convesso, dove il femore è la superficie convessa mentre la tibia quella concava (la superficie convessa di un’articolazione effettua uno scivolamento nel senso opposto allo spostamento angolare, la superficie concava di un’articolazione effettua uno scivolamento nello stesso senso dello spostamento angolare) quindi durante un’estensione di ginocchio la tibia scivola fisiologicamente in avanti e i condili del femore indietro, viceversa nella flessione, il LCA per questo durante l’estensione limita l’eccessivo scivolamento anteriore della tibia, inoltre limita la rotazione interna. In particolare questo compito viene svolto a totale carico dei legamenti quando la muscolatura non interviene, mentre nei movimenti attivi la stabilità dell’articolazione è anche a carico della muscolatura, per questo è importante allenare la forza e la propriocezione a difesa dei legamenti, ma di questo ne parleremo successivamente.
LESIONE LEGAMENTO CROCIATO ANTERIORE

Figura 2: Meccanismo di rottura LCA
La lesione del legamento avviene per movimenti improvvisi e veloci, durante i quali i meccanismi di difesa neuromuscolari non hanno la possibilità di intervenire in maniera ottimale, per affaticamento eccessivo, scarse capacità condizionali o per la troppa veemenza del movimento che sottopone il legamento a un carico supera le capacità di resistenza del legamento stesso. Il movimento solitamente è una rotazione esterna di tibia con il ginocchio che va in valgo per una rotazione interna a adduzione d’anca (in pratica quando il ginocchio si piega all’interno verso il ginocchio controlaterale) il tutto in appoggio su un piede solo. Questo può avvenire durante un atterraggio su una gamba sola “disturbato” da una forza esterna, come la spinta di un’altra persona, oppure un cambio di direzione su una gamba con il piede che rimane ancorato al terreno, ma le dinamiche possono essere anche diverse. Se ti sei lesionato il LCA in base al tipo di lesione e alle tue caratteristiche potrai operarti o provare il trattamento conservativo. In ogni caso le possibilità di sviluppare col tempo osteoartrosi precoce saranno piuttosto elevate (von Portat 2004).
SINTOMI E COSA FARE IN CASO DI LESIONE
Durante la distorsione del ginocchio puoi sentire in maniera distinta un rumore, il classico “crack”, seguito da un forte dolore e un gonfiore che arriva in brevissimo tempo. In primissima fase può essere utile mettere del ghiaccio (massimo 20 minuti) non tanto per i fini di guarigione, quanto per sentire meno dolore, che si acuirà se l’arto rimane sospeso con il muscolo decontratto (il corpo di solito inibisce il quadricipite in seguito a una distorsione di ginocchio) meno dolore con l’arto in scarico parziale (piede a terra ma con appoggio non completo) quindi sarà utile munirti di stampelle, e tenere l’arto elevato e compresso quando possibile, il ROM (range of motion) del tuo ginocchio sarà limitato sia in estensione che in flessione. Se ti recherai in pronto soccorso l’unico esame che potranno farti sarà una RX per scongiurare fratture, se sarai “fortunato” troverai l’ortopedico che tramite dei test (solitamente cassetto anteriore e Lachman) diagnosticherà la lesione, che verrà poi confermata da una risonanza, da fare solamente quando il ginocchio si sarà sgonfiato, per far sì che le immagini siano chiare.

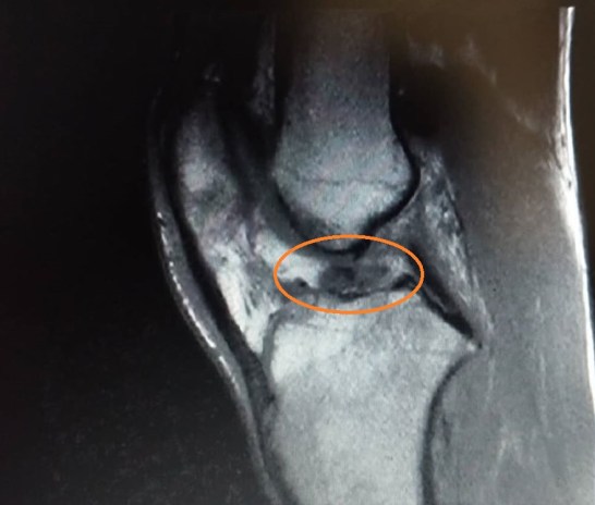
Figura 3: Lesione LCA di grado severo di un ragazzo di 31 anni in RMN
FASE PREOPERATORIA / TRATTAMENTO CONSERVATIVO
L’errore peggiore che puoi dopo la lesione è quello di tenere l’arto in scarico completo e di riposare fino al giorno dell’intervento; se la lesione non è completa puoi provare il trattamento conservativo, ma anche se il destino sarà quello di operarti devi intraprendere una strada del tutto analoga, e l’allenamento in palestra ci viene in soccorso in questa situazione. Esiste una parola “magica” per quanto riguarda il carico in questa fase, e da qui in poi, che si chiama “tolleranza”, ovvero carica quanto il tuo ginocchio lesionato te lo permette, nei primi giorni l’esercizio che potrai fare sarà il cammino con stampelle, abbandonando il prima possibile una delle due (quando cammini con una stampella tienila dal lato opposto rispetto a quello lesionato!) per poi abbandonarla quando ti senti sicuro, ricorda che anche se non hai ancora il carico completo sugli arti inferiori puoi continuare ad allenare la parte superiore del corpo (con le dovute precauzioni e magari con l’aiuto di qualcuno), mantenere una buona condizione fisica durante un infortunio migliora le tue capacità di guarigione! La cosa importante per quanto riguarda l’arto colpito sarà quello di recuperare il prima possibile l’estensione del ginocchio e controllare il gonfiore (di solito l’ortopedico aspira il liquido se ce n’è molto), il consiglio per questo è quello di farti seguire da un fisioterapista, ma nel rispetto del dolore puoi effettuare da supino delle flesso estensioni di ginocchio facendo strisciare il tallone a terra, cercando di forzare l’estensione nel rispetto del dolore, anche per riattivare il quadricipite, che noterai farai fatica a contrarre. Mantieni forte e attiva la tibiotarsica, muovendola in scarico e se il carico lo permette già effettuando delle spinte sulle punte con appoggio a muro o sulle stampelle.
Quando hai abbandonato le stampelle e il carico bipodalico non è più un problema puoi iniziare con il lavoro in palestra, con lavoro a carico tollerabile, che dovrai aumentare di seduta in seduta; potrai avvalerti di esercizi in catena cinetica chiusa come squat e leg press in prima fase, per poi arrivare a fare lavori in stazione monopodalica come i single leg squat, con esercizi che aumenteranno di carico e difficoltà, fino ad arrivare ad esercizi in catena cinetica aperta, balzi e pliometria. Gli esercizi in stazione monopodalica sono fondamentali soprattutto per il rinforzo del muscolo medio gluteo, vero e proprio antagonista del movimento che causa l’infortunio, essendo un abduttore ed extrarotatore d’anca, e il muscolo che principalmente evita il pelvic drop (caduta dell’emibacino controlaterale) quando si staziona su una gamba sola, movimento che causa sempre un aumento del valgismo del ginocchio in appoggio. Questo sarà fondamentale anche in fase post-operatoria.
Con un periodo di riabilitazione tra i 3 e i 6 mesi potresti concludere un percorso conservativo, ci saranno dei parametri per capire quando riprendere anche a correre e a fare sport, che sono simili per la ripresa nel post operatorio e ve ne parlerò in quel capitolo. Il principio di questo trattamento è sempre stato che migliorando la forza muscolare e la propriocezione si potesse in qualche modo sopperire alla lesione del legamento perché si pensava che non avesse alcuna capacità di guarigione (a causa della scarsa vascolarizzazione), in realtà si è visto che ci sono delle possibilità di miglioramento delle condizioni della stessa struttura lesionata, in particolare in persone con più di 20 anni che hanno effettuato il trattamento conservativo:

Tabella 1: Results of the Final Morphological Grade According to the Initial Injury Type (Ihara 2017)
Nella tabella effettuata in uno studio del 2017 (Ihara 2017), dove per tipo di infortunio si intendeva da (tipo I) a molto severo (tipo IV) e grado del recupero un dato analogo (12 mesi dopo), dove nel grado I abbiamo un legamento continuo, fino al grado IV dove il legamento è ancora del tutto compromesso, possiamo notare che diversi atleti hanno migliorato la morfologia del loro legamento (in particolare dei 34 atleti con infortunio di tipo II 16 sono arrivati al grado I, situazione di normalità).

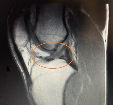
Figura 4: RMN dopo 9 mesi dello stesso atleta della Figura 3 dopo trattamento conservativo
In caso di fallimento del trattamento, prima di operarti dovrai almeno raggiungere questa condizione:
- forza di quadricipiti e harmstring rispetto al lato sano > 80%
- ROM completo, soprattutto in estensione
- No gonfiore
In questo modo qualsiasi innesto sceglierà l’ortopedico avrai maggiori possibilità di ripresa dopo l’intervento (van Melick 2016).
RICOSTRUZIONE LEGAMENTO CROCIATO ANTERIORE
Non vi spigherò nel dettaglio tutti i tipi di operazione, ma ce ne sono diversi, ultimamente il più utilizzato per la ricostruzione del legamento crociato anteriore è l’innesto tendineo dal gracile e semitendinoso, durante il quale viene prelevato parte di questo tendine per inserirlo al posto del LCA lesionato, a volte viene scelto ancora l’innesto dal tendine rotuleo, ormai in disuso legamenti artificiali e da cadavere (possibilità di rigetto). Il tutto eseguito in artroscopia. Nella riabilitazione non ci sono grandissime differenze, se non come vedremo per la scelta di esercizi in catena aperta, le conseguenze possono essere più sul ginocchio stesso sulla muscolatura dalla quale viene preso l’innesto, perché si è visto anche a distanza di anni per esempio sugli harmstrings la difficoltà a recuperare il tono, l’incisione tendinea è a tutti gli effetti una lesione, con le dovute conseguenze. Inoltre le caratteristiche del tendine sono diverse rispetto a quelle del legamento, prima tra tutte quella che il tendine è per natura elastica a differenza del legamento, per cui i tempi di guarigione, attecchimento e variazione delle caratteristiche biologiche dello stesso sono più lunghe rispetto ai tempi in cui solitamente gli atleti di grande livello tornano alle competizioni, vi quantificherò questo tempo.
RIABLITAZIONE POST-CHIRURGICA
Nell’immediato post chirurgico la palla passa nelle mani del fisioterapista, gli obiettivi saranno recupero dell’estensione in primis, e poi della flessione, esercizi a letto, rieducazione al carico (il carico a differenza di una volta è concesso da subito, valgono sempre le regole della tolleranza allo stesso), con esercizi in piedi, educazione all’utilizzo delle stampelle, che così come dopo l’infortunio vanno abbandonate velocemente, perché sarà proprio il carico a dare il giusto stimolo al nuovo legamento per saldarsi. Quando il ginocchio ti si è sgonfiato, l’estensione sarà completa così come il carico potrai tornare in palestra ad allenare le gambe.
ALLENAMENTO DELLA FORZA

Figura 5: Esercizio di Squat
Per gli esercizi in catena cinetica chiusa non ci sono grandi problemi, puoi quindi procedere come nella fase preoperatoria, invece per quanto riguarda gli esercizi in catena cinetica aperta ci sono delle regole da rispettare, diverse anche in base al tipo di intervento:
Innesto gracile e semitendinoso: dopo 4 settimane potrai tornare a fare leg extension/curl, ma utilizza un rom compreso tra i 90° e i 45°, non arrivare all’estensione completa per non sollecitare troppo il legamento, ci arriverai circa in 8 settimane.
Innesto rotuleo: dopo 6 settimane, senza limitazioni di gradi, ma con carico graduale (Heijne 2007).
ALLENAMENTO DELLA PROPRIOCEZIONE

Figura 6: Esercizio propriocettivo
I primi tre mesi saranno quasi totalmente dedicati al recupero della forza e della mobilità, l’altro parametro che tenere in considerazione è la propriocezione, intesa soprattutto come archeopropriocezione, ovvero quel flusso di informazioni proveniente dai recettori muscolari e articolari e reazioni “incoscienti” poiché mediate dalle stazioni sottocorticali (tronco encefalico, cervelletto e midollo) che ci permettono di restare in equilibrio (assieme al sistema vestibolare e alla vista). Questo tipo di propriocezione dà risposte molto più fini e controllate rispetto al sistema vestibolare che è un sistema di emergenza, dovrai quindi non esagerare con gli esercizi in situazioni di instabilità, per essere sicuro che tu stia allenando questo sistema. Come capirlo? Durante questo tipo di esercizio le correzioni posturali dovranno essere quasi tutte al carico del piede e della caviglia, quindi gli adattamenti di tronco e degli arti superiori dovranno essere minimi, spesso è sufficiente eseguire esercizi in stazione monopodalica per allenarla, senza ricorrere a bosu o tavolette! Potrai utilizzare cuscinetti propriocettivi ma solo dopo aver raggiunto un perfetto controllo su un piede solo (anche ad occhi chiusi, single leg balance test) che rispetto alle tavolette in legno o alla fitball rappresentano una situazione di instabilità meno precaria.
SALTI E ATTERRAGGI
Il passo successivo sarà inserire atterraggi e salti. Psicologicamente sarà complicato in quanto può ricordare il momento dell’infortunio, quindi come sempre è importante il concetto di progressione, potrai partire con dei semplici atterraggi su due piedi fino ad arrivare ad esercizi di balzi su un piede solo, il tutto stando attenti a non aumentare mai il valgismo del ginocchio durante l’atterraggio.
QUANDO POSSO RIPRENDERE A CORRERE?
In una recente review sono stati stabiliti dei criteri per poter tornare a correre dopo intervento di ricostruzione LCA:

Quindi potrai riprendere a correre quando il dolore sarà basso (2/10 VAS), avrai un’estensione attiva di ginocchio completa, una flessione quasi completa (95% rispetto al controlaterale), il ginocchio si sarà sgonfiato del tutto, la forza dell’arto inferiore dell’arto inferiore operato sarà almeno il 70% rispetto all’arto sano, sarai in grado di eseguire un single leg squat senza aumentare il valgismo del ginocchio (evitare che il ginocchio ti vada all’interno) e infine che gli hop tests siano almeno il 70% dell’arto sano (Rambaud 2018). Questo solitamente avviene attorno al terzo mese; cosa sono gli hop tests? Si tratta di balzi in avanti con atterraggio e controllo sullo stesso arto, nella modalità che potete vedere in immagine:

Figura 7: Hop tests
QUANDO POSSO TORNARE A FARE SPORT? TEMPI DI RECUPERO
Chiaramente dipende dal tipo di sport che si pratica, come puoi intuire a livello di carico sul legamento c’è una bella differenza tra una partita di calcio e una gita in bicicletta, i professionisti soprattutto nel calcio tornano in campo dopo 6 mesi, per questioni probabilmente di sponsor ed economiche (così come la scelta di operarsi il prima possibile) perché è ormai appurato a livello scientifico che il ritorno allo sport entro 6 mesi espone l’atleta fino a un rischio di reinfortunio fino a 7 volte superiore rispetto a chi torna all’agonismo dopo un anno (Kitaguchi 2019). Infatti fino al 22% degli atleti (in base all’età) si infortuna nuovamente allo stesso ginocchio e fino al 24% al controlaterale (per cattiva gestione del carico) nei primi 5 anni dopo la ricostruzione. Il 35% degli atleti che si operano anche dopo due anni a livelli di prestazione prima dell’infortunio (van Melick 2016). Il consiglio quindi, per chi vuole avere una ripresa ottimale è quello di tornare a fare sport tra i 9 e i 12 mesi, rispettando i tempi biologici di guarigione e attecchimento del nuovo legamento (che sono in media di 12 mesi) e soprattutto i tempi di miglioramento delle condizioni psicologiche legate all’infortunio ovvero la “kinesifobia”. Di cosa si tratta? Letteralmente significa “paura del movimento” e si è visto che le possibilità di insuccesso riabilitativo sono molto legate a questo fattore, anche per una risultante meccanica di origine psicologica. Ho spiegato che il meccanismo di lesione del legamento è in valgo di ginocchio e adduzione e intrarotazione d’anca, in parole povere “chiudere le gambe”, quando ci sentiamo in situazione di pericolo di certo non apriamo le gambe, piuttosto cerchiamo di metterci in un atteggiamento di protezione che è sempre in chiusura, quasi richiamando la posizione fetale, così facendo chiudiamo le gambe e questo porta ad aumento dell’atteggiamento di valgismo delle ginocchia, sovraccaricando il comparto mediale e facilitando le possibilità di recidive.
Gli ultimi mesi di riabilitazione devono essere quindi dedicati ai cambi di direzione ad alta velocità, recupero del gesto sportivo ed esercizi pliometrici, parallelamente all’allenamento della forza in palestra con un protocollo di forza a carichi salenti, che rimane la principale forma di recupero e prevenzione per nuovi infortuni. Rispetta le tempistiche (9-12 mesi) e potrai tornare all’attività, a patto che la forza di quadricipiti e harmstrings sia simile nei due arti (almeno 90% rispetto al sano), che siano anche simili i single hop tests (sempre 90%) e potrebbe essere anche utile cronometrare un T-Test Agility drill, un test di velocità che prevede uno scatto in avanti, degli scivolamenti laterali e una corsa all’indietro, con cambi di direzione, inoltre valuta la tua kinesifobia con delle scale di valutazione (Marx scale, Psychovitality Scale, Knee Self-Efficacy Scale, Tampa scale of kinesiofobia), altri test che devono essere effettuati sono ancora gli hop tests, e lo star excursion test, che devono essere del tutto simili per entrambi gli arti (Kiritsis 2016).

Figura 8: Star excursion test
Non ti resta che prevenire nuove recidive, la percentuale è alta come spiegavo prima, ma se rispetti i tempi, fai una buona riabilitazione e prosegui il lavoro di forza in palestra avrai grandi possibilità di successo, soprattutto se hai sottovalutato il lavoro sulla forza e sulla propriocezione prima dell’infortunio! Inoltre è stato dimostrato che il ritorno allo sport dopo la ricostruzione del crociato e correlato con una minor insorgenza di osteoartrosi rispetto a chi non è tornato a fare sport (Øiestad 2018).
Bibliografia:
von Porat A, Roos EM, Roos H. High prevalence of osteoarthritis 14 years after an anterior cruciate ligament tear in male soccer players: a study of radiographic and patient relevant outcomes. Annals of the Rheumatic Diseases 2004;63:269-273. https://doi.org/10.1136/ard.2003.008136
Ihara H, Kawano T. Influence of Age on Healing Capacity of Acute Tears of the Anterior Cruciate Ligament Based on Magnetic Resonance Imaging Assessment. J Comput Assist Tomogr. 2017;41(2):206–211. https://doi.org/10.1097/RCT.0000000000000515
van Melick N, van Cingel REH, Brooijmans F, et al. Evidence-based clinical practice update: practice guidelines for anterior cruciate ligament rehabilitation based on a systematic review and multidisciplinary consensus. British Journal of Sports Medicine 2016;50:1506-1515. https://dx.doi.org/10.1136/bjsports-2015-095898
Heijne, A., Werner, S. Early versus late start of open kinetic chain quadriceps exercises after ACL reconstruction with patellar tendon or hamstring grafts: a prospective randomized outcome study. Knee Surg Sports Traumatol Arthrosc 15, 472–473 (2007). https://doi.org/10.1007/s00167-007-0313-0
Rambaud AJM, Ardern CL, Thoreux P, et al. Criteria for return to running after anterior cruciate ligament reconstruction: a scoping review. British Journal of Sports Medicine 2018;52:1437-1444. http://dx.doi.org/10.1136/bjsports-2017-098602
Kitaguchi, T., Tanaka, Y., Takeshita, S. et al. Importance of functional performance and psychological readiness for return to preinjury level of sports 1 year after ACL reconstruction in competitive athletes. Knee Surg Sports Traumatol Arthrosc (2019). https://doi.org/10.1007/s00167-019-05774-y
Kyritsis P, Bahr R, Landreau P, et al Likelihood of ACL graft rupture: not meeting six clinical discharge criteria before return to sport is associated with a four times greater risk of rupture. British Journal of Sports Medicine 2016;50:946-951. https://dx.doi.org/10.1136/bjsports-2015-095908
Øiestad BE, Holm I, Risberg MA. Return to pivoting sport after ACL reconstruction: association with osteoarthritis and knee function at the 15-year follow-up. British Journal of Sports Medicine 2018;52:1199-1204. http://dx.doi.org/10.1136/bjsports-2017-097718
Elia Brocchetti
Fisioterapista e laureato in Scienze Motorie e Sport all’Università degli Studi di Milano, osteopata. Titolare di Fisiolario studio di fisioterapia e osteopatia, formatore professionale in aziende, in Urban Fitness e XBody EMS Trainer specializzato in riablitazione.


